Home

About Us

Contact Us

Articles

News

Links

Do you know what NASA has given us that isn't well known in our part of the world, yet it is used daily in many parts of the world for pain relief, relaxation, cell regeneration, etc.?
Why are we kept in the dark about certain inventions and studies of NASA when knowing about them could make a big difference in our lives and in the lives of our loved ones or anyone suffering discomforts in their body?
There are many inventions in our daily lives we just take for granted never giving a thought to where they originate, or who invented them. I want to share with you today one of these kept "secrets" we are not aware of, thus, we are being cheated from the benefits of this space technology.
Since 1976 there are about 1,400 documented NASA inventions that we can benefit from in the quality of life, in jobs created, and in health care.
We have heard of kidney dialysis machines, but how many of us know they came as a result of NASA developing a chemical process to remove toxic waste from used dialysis fluid?
Don't most of us know someone who has had a CAT scan or had one ourselves when doctors are searching for tumors or other abnormalities? How many of us know this technology was first used as in inspection system in aerospace structures to find imperfections?
Do you know of anyone with a cardiovascular condition? Since astronauts develop cardiovascular conditions in space, the development of a physical therapy and athletic development machine was invented.
The list goes on, however, I want to share one that is very dear to my heart.
It is my desire to share with you a collaborative 4-year study (NASA/TP-2003-212054) on the efficacy of pulsed electromagnetic fields when it comes to stimulating growth and repair in tissues of mammals.
The Chief Investigators were Robert Dennis Ph.D. from the University of Michigan and Thomas J Goodwin Ph.D. from the Lynden B Johnson Space Center and you haven't heard of either one of them have you? Why?
The study was to find the most effective electromagnetic fields to enhance growth and repair of tissues of mammals.
The Pulsed Electrical-Magnetic Field (PEMF) used in the study caused accelerated growth in the cells observed.
Extended from these studies, we have medical research on PEMF with some very astounding results for patients suffering many different pains.
Medical research with PEMF technology showed may benefits when used in the following list of some of the discomforts research.
How many of us know people who suffer pains from old injuries or from a diseased body?
Do you know of anyone who is miserable with swellings? They many have swollen knees, ankles and what can they do to get relief?
Do we know the cause of the swellings and is there a way to remove the cause so the body can function daily without swellings?
How many people are walking around with Osteo Arthritis and don't even know they have it, until they are in so much pain they will pop any pill in hopes of having some relief from the excruciating pains?
What about the crippling Rheumatoid Arthritis? Have you see someone with distorted limbs or hands all from Rheumatoid Arthritis? What is it that NASA has used in Medical Research that would show results in improvement for these people?
Have you known of someone who has been wounded and his or her wounds don't heal like expected? What if they knew about this technology and could use it for healing, don't you think they would be grateful?
What about Bone Fractures that are not joining back together? What if we could tell them about this wonderful technology that Medical Research has shown gives desirable results?
Pulsed Electro-Magnetic Field research shows this technology to be valuable when working with connective tissue (cartilage) pains and discomforts.
PEMF has been successful with nerve tissue regeneration also. How many walk around with nerve damage and suffer greatly daily?
The list goes on and on even for those who are distraught by depression, epilepsy, fibromyalgia, insomnia, migraine headache, Parkinson's, Alzheimers, incontinence, inflammatory disease, heart disease, cancer, tinnitus and the list goes on.
I would like for each of you to take the time to do some of your own research and read the study report at [http://www.PEMFstudies.com/NASA.htm].
After searching this out, I think you will know why I have been working with the PEMF technology for my well being, youthfulness, pain free living.


@Copyright2011.Ming's World. All Right Reserved.
The Magnavet is NOT FOR HUMAN USE. The MagnaVet device is intended to safely and effectively promote healing in hard and soft tissue injury and chronic disease states, including, but not limited to, long bone fracture, tendon, ligament, and cartilage injury, and osteoarthritis in pets. It is only available by prescription from a qualified veterinarian, and is expressly not intended to treat food or food-producing animals.


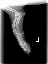
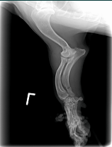
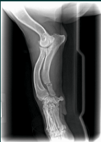
Hey Bob,Sorry, Ive been in and out of town.  I've attached some radiographs of a 12 year-old dog with an ulnar fracture we've been using it on.  It looks like we have significant callous formation in 16 days!  I have another dog that I did a patellar luxation surgery that we are using it on as well.  I'll try to get you some films of it.  So far I haven't had any major issues.  It would be nice if the device itself could be smaller for some of these smaller dogs.  The fracture dog has a bandage/splint on, so it is pretty easy to encorporate the coils into the bandage.  The other dog has no bandage, so I've been using elasitcon to hold it over the affected area.  After a 4-5 days it causes some irritation and we have the device off a couple of days before replacing it.  I'm not sure there is any other way to hold it there(over the knee) without putting a bandage over the leg which would limit our range of motion and cause muscle atrophy.Thanks,
Ian Voeizel, DVM
512-832-1088